What is Orthodontic Correction?
Simply put, it means wearing braces on crooked teeth, for straightening (teeth transformation).
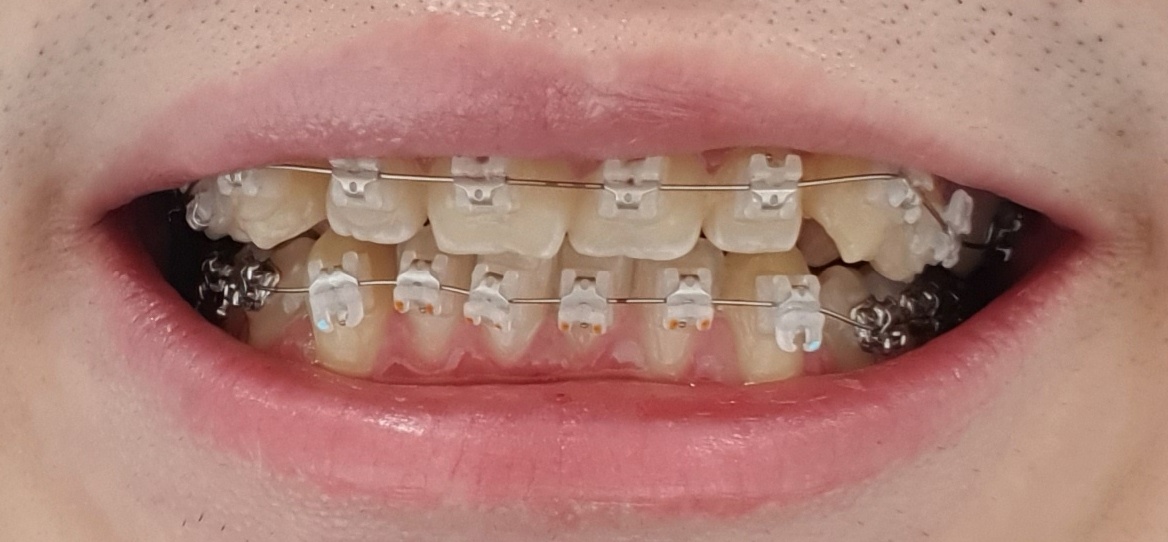
I started to wear braces from Feb 8, 2022. So I’m in 3 month with braces.
Today, I’m gonna introduce my history of teeth transformation.
History of Orthdontic Correction
The beginning




Progress of tooth transformation





Insight
It is too hurt… I can’t chew well… TT
The End!